關節血腫
除了患有血友病的患者之外, 關節血腫大部分是創傷性的。創傷可引起x光看不出的關節內骨折或韧带,滑膜等軟組織裂傷,從而導致血管破裂出血。血液慢慢渗進關節,腫痛一般在傷後1-2 小時內發生。
檢查時會發現受影響關節腫脹,皮膚溫度增高,有時皮膚有瘀輕還有明顯觸痛感。x光檢查的用意在於排除明顯的骨折。確認了是創傷性關節血腫,首先要做的是停止關節的活動,冰敷消腫和止痛。有需要時,為了減輕關節內壓力,要在無菌操作下將關節內積血抽淨。之後就要找到出血的原因, 從而制定後續治療的計劃。醫生會作相關的檢查以確定軟組織是否撕裂,如果不能確定,做個磁力共振就能看得清楚。
總而言之,受傷後並不是x光正常就等於沒大礙。最重要的還是仔細的病歷和臨床檢查,再加上適當的化驗和影像檢查去達到一個精確的診斷,以免錯過了治療的良機。
個案分享
第二位是個十多歲的胖男孩,在家蹦蹦跳跳了約十來分鐘,一切正常,也是大約一、兩個小時後在洗澡的時候發現膝關節腫了,還非常痛。他需要穿著支架固定並用拐杖走路數周,等完全恢復了才能自由行走。那個膝關節血腫的孩子,由於非常疼痛,做了關節內積血的抽取,臨床檢查及磁力共振顯示臏骨習慣性脫位。他需要通過適量的運動,加强腿部肌肉,才能避免情況再次發生。

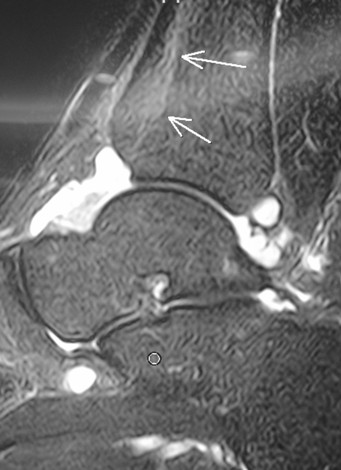
右圖的磁力共振顯示這名年輕人的脛骨下端有骨折(白色箭嘴),血液經骨折滲進踝關節(白色的地方)
以上資訊由醫生提供,只可作教育用途,如有身體不適,請向醫生求診。
背痛 | 坐骨神經痛 | 坐骨神經痛需要做手術? | 退化性脊椎側彎 | 骨質疏鬆 | 骨折 | 頸的脊椎病, 頸椎 | 腰椎管狹窄 | 個案分享 - 我的脊椎問題有得醫嗎? | 骨刺很可怕嗎? | 脊椎導航手術 | 骨折微創手術 | 緊急脊椎手術 | 選擇脊椎手術的原則 | 甚麼是脊椎微創手術? | 淺談關節炎(第一部分) | 淺談關節炎(第二部分) | 鍾斯骨折 - 不明顯的骨折 | 頸痛 | 反應性關節炎 | 跟腱炎、跟腱斷裂 | 關節血腫 | 槌狀指 | 病人心中的刺 | 拗柴是小事嗎? | 老年人股骨頸骨折 | 關節積水 | |腦中風和頸脊髓病 | 個案分享: 腕管綜合症 | 個案分享- 頸部的脊髓神經病症 | 機械心臟-骨刺是正常的生理現象 | 脊椎微彎不影響身高 | 脊椎痛 - 長期臥床反影響康復 | 頸椎病年輕化 |


